Menu

Disponibilizamos os resultados dos exames através de filmes impressos,
e de forma digital, com acesso rápido pelo site.
A Vinicius Mundstock Radiologia também pode entregar o exame diretamente
no consultório de seu dentista, basta combinar com nossa equipe.

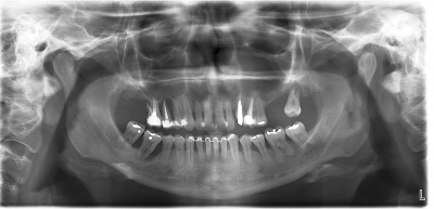
  • Radiografias digitais intra e extra-bucais

    Periapicais, Interproximais, Panorâmica.


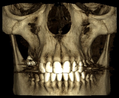
  • Tomografia computadorizada e Escaneamento Intraoral

    Maxila e Mandíbula, ATMS, Dentes.


  • Documentações odontológicas

    Pastas Impressas e/ou online (Consultório Virtual). Pastas Padronizadas - Padronizamos a lista de exames e a pasta de sua clínica.